罗美微个人资料,才华横溢的艺术家,人生轨迹与艺术成就的完美融合

admin 38 0
你知道吗?在娱乐圈里,总有一些明星让人眼前一亮,他们的才华和魅力让人无法忽视。今天,就让我带你走进罗美微的世界,一起揭开这位美女明星的神秘面纱吧!罗美微:从平凡女孩到璀璨明星罗美微,一个听起来就充满诗意的名字,她不仅有着美丽的容颜,更有着丰富的内心世界。她出生于1988年,来自我国一个美丽的南方城市。从小,罗美微就展现出了对艺术的热爱,她喜欢唱歌、跳舞,还热衷于参加各种文艺活动。罗美微的演艺经历罗美微的演艺生涯可谓是一路星光璀璨。她曾参加过多个选秀节目,凭...

卡斯泊个人资料,才华横溢的年轻才俊,揭秘他的成长之路

admin 44 0
亲爱的读者,今天我要带你走进一个神秘的世界,揭开一个名叫卡斯泊的神秘人物的面纱。卡斯泊,这个名字听起来是不是有点陌生?但别急,接下来,我就要给你详细地介绍一下他的个人资料,让你对这个人物有更深入的了解。一、卡斯泊的出身背景卡斯泊,全名卡斯泊·李,出生于我国一个普通的家庭。他的父母都是勤劳朴实的工人,虽然家庭条件并不富裕,但父母对他的教育非常重视。在父母的关爱和鼓励下,卡斯泊从小就展现出了过人的才华。二、卡斯泊的教育经历卡斯泊在求学过程中,一直保持着优异的成...

曾熬个人资料,从平凡走向卓越的励志人生

admin 49 0
你知道吗?在互联网这个浩瀚的宇宙中,每个人都有自己的星辰大海。今天,咱们就来聊聊一个特别的人物——曾熬。你可能不认识他,但他的故事绝对能让你眼前一亮。曾熬:一个名字背后的故事曾熬,这个名字听起来就充满了故事感。据可靠资料显示,曾熬是一位来自我国南方的小伙子。他出生在一个普通的家庭,从小就对世界充满了好奇。他的父母都是勤劳朴实的农民,虽然生活并不富裕,但他们对曾熬的教育投入了极大的心血。曾熬的成长之路曾熬从小就展现出了过人的学习天赋。他勤奋好学,成绩一直名列...

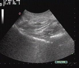
阑尾炎照片,直观解析与病例分析

admin 43 0
说到阑尾炎,这可是个让人一听就心头一紧的话题。想象肚子突然一阵剧痛,紧接着就是翻江倒海的难受,这滋味儿,简直了!今天,就让我带你一起,通过阑尾炎的照片,来了解一下这个让人头疼的小家伙。阑尾炎,你长什么样?阑尾炎,这个名字听起来就让人心生恐惧。那么,阑尾炎的照片又会是什么样子呢?首先,我们要知道,阑尾炎是一种炎症性疾病,通常发生在人体的阑尾部位。阑尾,这个看似不起眼的小器官,位于人体右下腹,连接着盲肠。当阑尾发炎时,它的外观会发生一些变化。通过一些医学图片,...